
インプラントの治療詳細(手術方法・治療の流れ・費用)|東大和市で歯医者をお探しの方は【医療法人社団 光歯会 小川歯科】まで
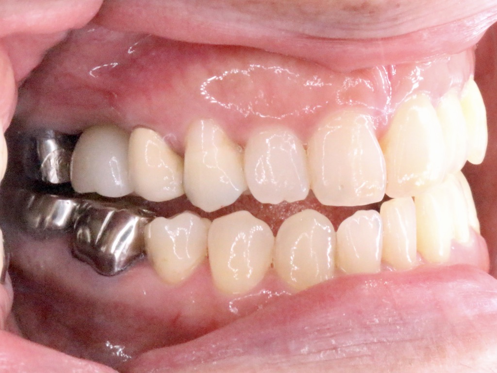
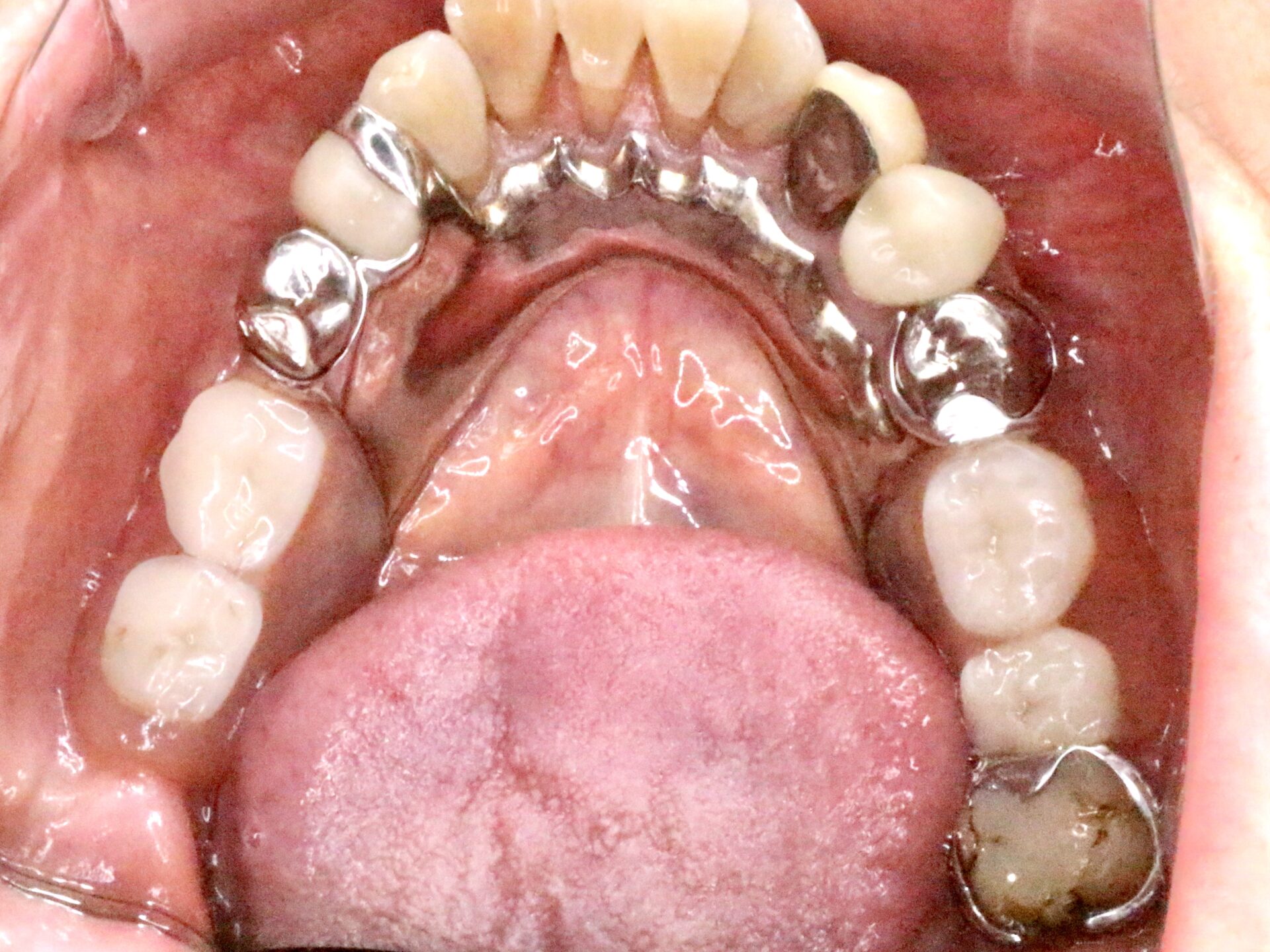
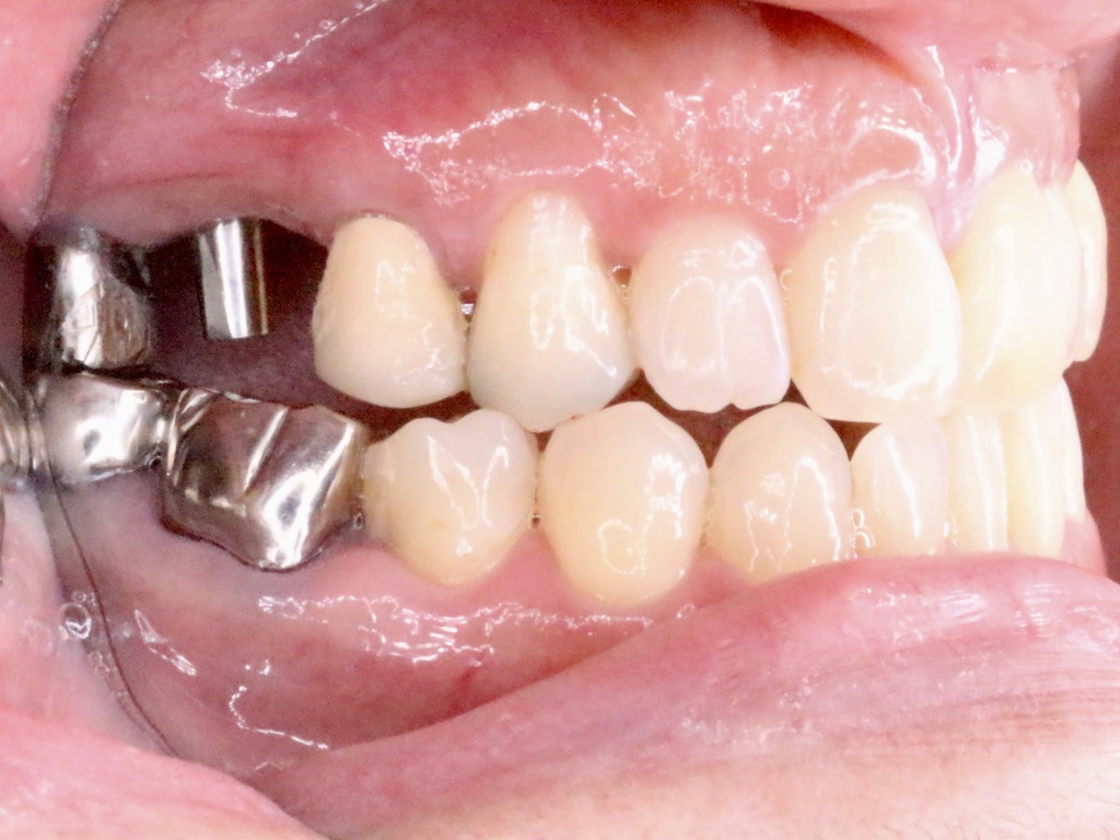
インプラントの手術方法と治療部位
当院でのインプラント治療の流れ
STEP 01
ご来院・受付
ご来院いただきましたら、受付にて保険証、マイナ保険証、診察券をご提示ください。その後、問診票のご記入をお願いいたします。
服用中のお薬に関する情報もあわせてお申し出ください。
服用中のお薬に関する情報もあわせてお申し出ください。
STEP 02
問診・カウンセリング
カウンセリングルームや診療台にて、カウンセリングを実施します。
治療へのご希望や過去に行った治療内容、現在治療中のお体の病気などをお伺いしてまいります。
費用などご不安なことがありましたら、お気軽にご質問ください。
治療へのご希望や過去に行った治療内容、現在治療中のお体の病気などをお伺いしてまいります。
費用などご不安なことがありましたら、お気軽にご質問ください。
STEP 03
検査・診断(CT撮影など)
レントゲン撮影や検査器具を使用した検査、歯周病の検査などを行います。
当院では3次元的な分析を詳細にするため、歯科用CTによる撮影も実施しております。
当院では3次元的な分析を詳細にするため、歯科用CTによる撮影も実施しております。
STEP 04
治療(手術〜メンテナンス)
計画にそって治療を開始します。インプラントを埋め込む手術は1日で完了します。
通常、2~3か月後に型どりをして、上部構造を装着することで噛めるようになります。
治療後は長く保つために定期メンテナンスを行います。
通常、2~3か月後に型どりをして、上部構造を装着することで噛めるようになります。
治療後は長く保つために定期メンテナンスを行います。
治療費用
インプラント治療にかかる費用について
| 種別 | 項目 | 内容 | 単位 | 費用(税込) | |
|---|---|---|---|---|---|
| 診断・検査費 | 精密検査 | CT撮影 | 1回 | 無料 | |
| 治療計画 | インプラントについての治療計画 | 1回 | 無料 | ||
| 材料費等 | 上部構造 | 人工歯部分(ジルコニアを使用) | 1本 | 110,000 | |
| インプラント体(フィクスチャー) | 顎の骨に埋め込むインプラント本体 | 1本 | 220,000 | ||
| サージカルガイド | 3次元シュミレーションを基にした手術用装置 | 無料 | |||
| 手術費用 | インプラント植立手術費用 | 1回 | 55,000 | ||
| 附随する手術 | 抜歯即時植立術 | 抜歯と同時にインプラントを植立する手術法 | 無料 | ||
| ソケットリフト | インプラント体を植立するのに十分な骨がない場合の治療 | 無料 | |||
| リッジエクスパンジョン | 骨の幅を拡大してインプラントを可能にする治療 | 無料 | |||
※前歯・奥歯ともに同料金
※無料の項目はインプラント本体・上部構造の費用に含まれており、単体での費用は発生しません。
費用の目安(総額モデル)
抜歯後 1本埋入プラン
- 精密検査・CT 無料
- サージカルガイド 無料
- インプラント体 220,000円
- 手術費用 55,000円
- 上部構造(ジルコニア) 110,000円
総額目安
385,000円(税込)
2本埋入プラン(通常)
- 精密検査・CT 無料
- サージカルガイド 無料
- インプラント体 (x2) 440,000円
- 手術費用 55,000円
- 上部構造 (x2) 220,000円
総額目安
715,000円(税込)
支払方法について
当院では、患者様のご都合に合わせて様々なお支払い方法をご用意しております。
¥ 現金
窓口にて現金でのお支払いが可能です。
C クレジットカード
一括・分割・ボーナス払いが可能です。
VISA
MasterCard
JCB
AMEX
Diners
DC
UFJ
NICOS
E 電子マネー・QR決済
スマホ決済も対応しております。
PayPay
楽天Pay
QUICPay
d払い
医療費控除について
当院のインプラント治療は、医療費控除の対象となります。
医療費控除とは、1年間(1月1日~12月31日)に支払った医療費の合計が10万円(または総所得の5%)を超えた場合に、確定申告を通じて所得控除を受けられる制度です。
控除額の計算方法
支払った医療費の
合計額
合計額
−
保険金などで
補填された金額
補填された金額
−
10万円
(総所得200万未満は5%)
(総所得200万未満は5%)
=
医療費控除額
(還付対象)
(還付対象)
還付金の目安(例)
年収440万円の方が、
38.5万円のインプラント治療を
受けた場合
38.5万円のインプラント治療を
受けた場合
約 4.3万円 が戻ってきます
※概算です。実質の負担額は約34.2万円になります。
【試算条件】給与収入440万円、基礎控除のみ、配偶者・扶養控除なし、社会保険料15%仮定。
適用税率:所得税5%、住民税10%。
※この還付金額はあくまで概算であり、個人の所得や医療費控除の状況によって異なります。
詳しくは所轄の税務署または税理士にご相談ください。
以下の費用も控除の対象に含まれます:
- 通院時の公共交通機関の交通費(バス・電車など)
- デンタルローン・クレジットカードで支払った治療費
- 処方されたお薬代